Cryptococcus
Cryptococcus is a genus of fungi in the family Cryptococcaceae that includes both yeasts and filamentous species. The filamentous, sexual forms or teleomorphs were formerly classified in the genus Filobasidiella, while Cryptococcus was reserved for the yeasts. Most yeast species formerly referred to Cryptococcus have now been placed in different genera. The name Cryptococcus comes from the Greek for "hidden sphere" (literally "hidden berry"). Some Cryptococcus species cause a disease called cryptococcosis.
| Cryptococcus | |
|---|---|
![]() | |
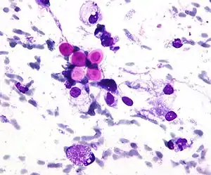
| Yeast state of Cryptococcus neoformans | |
| Scientific classification | |
| Kingdom: | Fungi |
| Division: | Basidiomycota |
| Class: | Tremellomycetes |
| Order: | Tremellales |
| Family: | Cryptococcaceae |
| Genus: | Cryptococcus Vuill. (1901) |
| Type species | |
| Cryptococcus neoformans | |
| Species | |
|
Cryptococcus amylolentus | |
| Synonyms | |
|
Filobasidiella Kwon-Chung (1975) Tsuchiyaea Y. Yamada, H. Kawas., Itoh, I. Banno & Nakase (1988) | |
Taxonomy
The genus was described by French mycologist Jean Paul Vuillemin in 1901, when he failed to find ascospores characteristic of the genus Saccharomyces in the yeast previously known as Saccharomyces neoformans.[1] Over 300 additional names were subsequently added to the genus, almost all of which were later removed following molecular research based on cladistic analysis of DNA sequences. As a result, some ten species are currently recognized in Cryptococcus.[2]
The teleomorph was first described in 1975 by K.J. Kwon-Chung, who obtained cultures of the type species, Filobasidiella neoformans, by crossing strains of the yeast Cryptococcus neoformans. She was able to observe basidia similar to those of the genus Filobasidium, hence the name Filobasidiella for the new genus.[3] Following changes to the International Code of Nomenclature for algae, fungi, and plants, the practice of giving different names to teleomorph and anamorph forms of the same fungus was discontinued, meaning that Filobasidiella became a synonym of the earlier name Cryptococcus.
General characteristics
The cells of species that produce yeasts are covered in a thin layer of glycoprotein capsular material that has a gelatin-like consistency, and that among other functions, serves to help extract nutrients from the soil. The C. neoformans capsule consists of several polysaccharides, of which the major one is the immunomodulatory polysaccharide called glucuronoxylomannan (GXM).[4] GXM is made up of the monosaccharides glucuronic acid, xylose and mannose and can also contain O-acetyl groups. The capsule functions as the major virulence factor in cryptococcal infection and disease.[5]
Some Cryptococcus species have a huge diversity at the infraspecific level with different molecular types based on their genetic differences, mainly due to their geographical distribution, molecular characteristics, and ecological niches.[6]
No Cryptococcus species are not known to produce distinct, visible fruitbodies. All teleomorph forms appear to be parasites of other fungi. In teleomorphs the hyphae are colourless, are clamped or unclamped, and bear haustorial cells with filaments that attach to the hyphae of host fungi.[7][8] The basidia are club-shaped and highly elongated. Spores arise in succession from four loci at the apex (which is sometimes partly septate). These spores are passively released and may remain on the basidium in chains, unless disturbed.[3] In the type species, the spores germinate to form yeast cells, but yeast states are not known for all species.
Habitat, distribution and species

Cryptococcus neoformans is cosmopolitan and is the most prominent medically important species. It is best known for causing a severe form of meningitis and meningoencephalitis in people with HIV/AIDS. It may also infect organ-transplant recipients and people receiving certain cancer treatments.[9] In its yeast state C. neoformans is found in the droppings of wild birds, often pigeons; when dust of the droppings is stirred up, it can infect humans or pets that inhale the dust. Infected humans and animals do not transmit their infection to others.[9] The taxonomy of C. neoformans has been reviewed: it has now been divided into two species: Cryptococcus neoformans sensu stricto and Cryptococcus deneoformans.[10][2]
Cryptococcus gattii (formerly C. neoformans var. gattii) is endemic to tropical parts of the continent of Africa and Australia. It is capable of causing disease in non-immunocompromised people. In its yeast state it has been isolated from eucalyptus trees in Australia. The taxonomy of C. gattii has been reviewed; it has now been divided into five species: C. gattii sensu stricto, C. bacillisporus, 'C. deuterogattii, C. tetragattii, and C. decagattii.[10][2]
Cryptococcus depauperatus is parasitic on Lecanicillium lecanii, an entomopathogenic fungus, and is known from Sri Lanka, England, the Netherlands, the Czech Republic, and Canada.[8][11] It is not known to produce a yeast state.[12]
Cryptococcus luteus is parasitic on Granulobasidium vellereum, a corticioid fungus, and is known from England and Italy.[13] It too is not known to produce a yeast state.[14]
Cryptococcus amylolentus was originally isolated as a yeast from beetle tunnels in South African trees. It forms a basidia-bearing teleomorph in culture.[15]
References
- The Yeasts, a Taxonomic Study by C. P. Kurtzman, Jack W. Fell
- Liu XZ, Wang QM, Göker M, Groenewald M, Kachalkin AV, Lumbsch HT, Millanes AM, Wedin M, Yurkov AM, Boekhout T, Bai FY (2015). "Towards an integrated phylogenetic classification of the Tremellomycetes". Studies in Mycology. 81: 85–147. doi:10.1016/j.simyco.2015.12.001. PMC 4777781. PMID 26955199.
- Kwon-Chung KJ. (1975). "A new genus, Filobasidiella, the perfect state of Cryptococcus neoformans". Mycologia. 67 (6): 1197–1200. doi:10.2307/3758842. JSTOR 3758842. PMID 765816.
- Grijpstra J, Tefsen B, van Die I, de Cock H (November 2009). "The Cryptococcus neoformans cap10 and cap59 mutant strains, affected in glucuronoxylomannan synthesis, differentially activate human dendritic cells". FEMS Immunology and Medical Microbiology. 57 (2): 142–50. doi:10.1111/j.1574-695X.2009.00587.x. PMID 19694810.
- Casadevall A, Perfect JR (1998). Cryptococcus neoformans. American Society for Microbiology, ASM Press.
- Cogliati M (2013). "Global Molecular Epidemiology of Cryptococcus neoformans and Cryptococcus gattii: An Atlas of the Molecular Types". Scientifica. 2013: 675213. doi:10.1155/2013/675213. PMC 3820360. PMID 24278784.
- Findley K, Rodriguez-Carres M, Metin B, Kroiss J, Fonseca A, Vilgalys R, Heitman J (2009). "Phylogeny and phenotypic characterization of pathogenic Cryptococcus species and closely related saprobic taxa in the Tremellales". Eukaryotic Cell. 8 (3): 353–361. doi:10.1128/EC.00373-08. PMC 2653247. PMID 19151324.
- Ginns J, Malloch DW (2003). "Filobasidiella depauperata (Tremellales): haustorial branches and parasitism of Verticillium lecanii". Mycological Progress. 2 (2): 137–140. doi:10.1007/s11557-006-0051-6. S2CID 34250983.
- "What is Cryptococcus infection (cryptococcosis)?". Center for Disease Control and Prevention. April 28, 2010. Retrieved 8 March 2012.
- Hagen F, Khayhan K, Theelen B, et al. (2015). "Recognition of seven species in the Cryptococcus gattii/Cryptococcus neoformans species complex". Fungal Genetics and Biology. 78: 16–48. doi:10.1016/j.fgb.2015.02.009. PMID 25721988.
- Samson RA, Stalpers JA, Weijman AC (1983). "On the taxonomy of the entomogenous fungus Filobasidiella arachnophila". Antonie van Leeuwenhoek. 49 (4–5): 447–456. doi:10.1007/BF00399323 (inactive 28 February 2022). PMID 6651289.
{{cite journal}}: CS1 maint: DOI inactive as of February 2022 (link) - Rodriguez-Carres M, Findley K, Sun S, Dietrich FS, Heitman J (2010). "Morphological and genomic characterization of Filobasidiella depauperata: a homothallic sibling species of the pathogenic Cryptococcus species complex". PLOS ONE. 5 (3): e9620. Bibcode:2010PLoSO...5.9620R. doi:10.1371/journal.pone.0009620. PMC 2835752. PMID 20224779.
- Ginns J, Bernicchia A (2000). "Filobasidiella lutea: parasitism of Hypochnicium vellereum". Karstenia. 40 (1–2): 49–51. doi:10.29203/ka.2000.351.
- Sivakumaran S, Bridge P, Roberts P (2002). "Genetic relatedness among Filobasidiella species". Mycopathologia. 156 (3): 157–162. doi:10.1023/A:1023309311643. PMID 12749578. S2CID 41798563.
- Findley K, Sun S, Fraser JA, Hsueh Y, Averette AF, Li W, Dietrich FS, Heitman J (2012). "Discovery of a modified tetrapolar sexual cycle in Cryptococcus amylolentus and the evolution of MAT in the Cryptococcus species complex". PLOS Genetics. 8 (2): e1002528. doi:10.1371/journal.pgen.1002528. PMC 3280970. PMID 22359516.
